標本の説明
標本8
標本8(128KB)
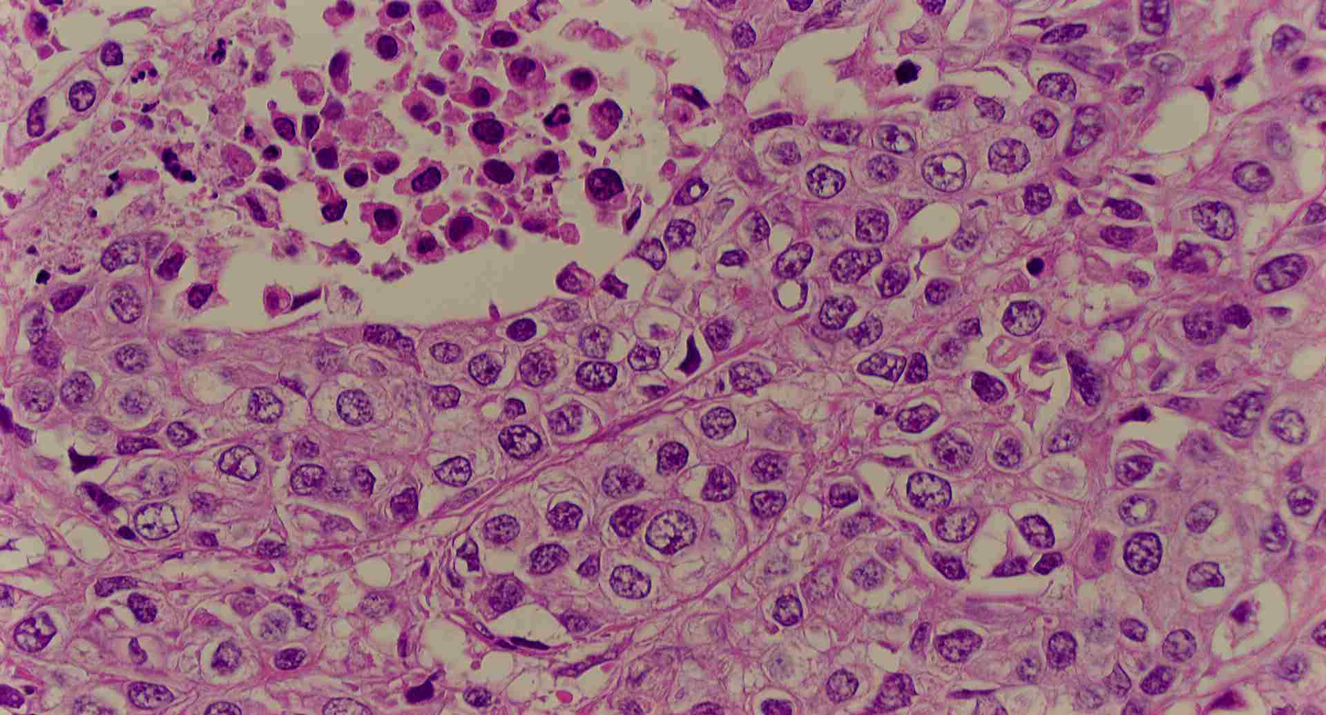
標本8の説明
標本一覧に戻る