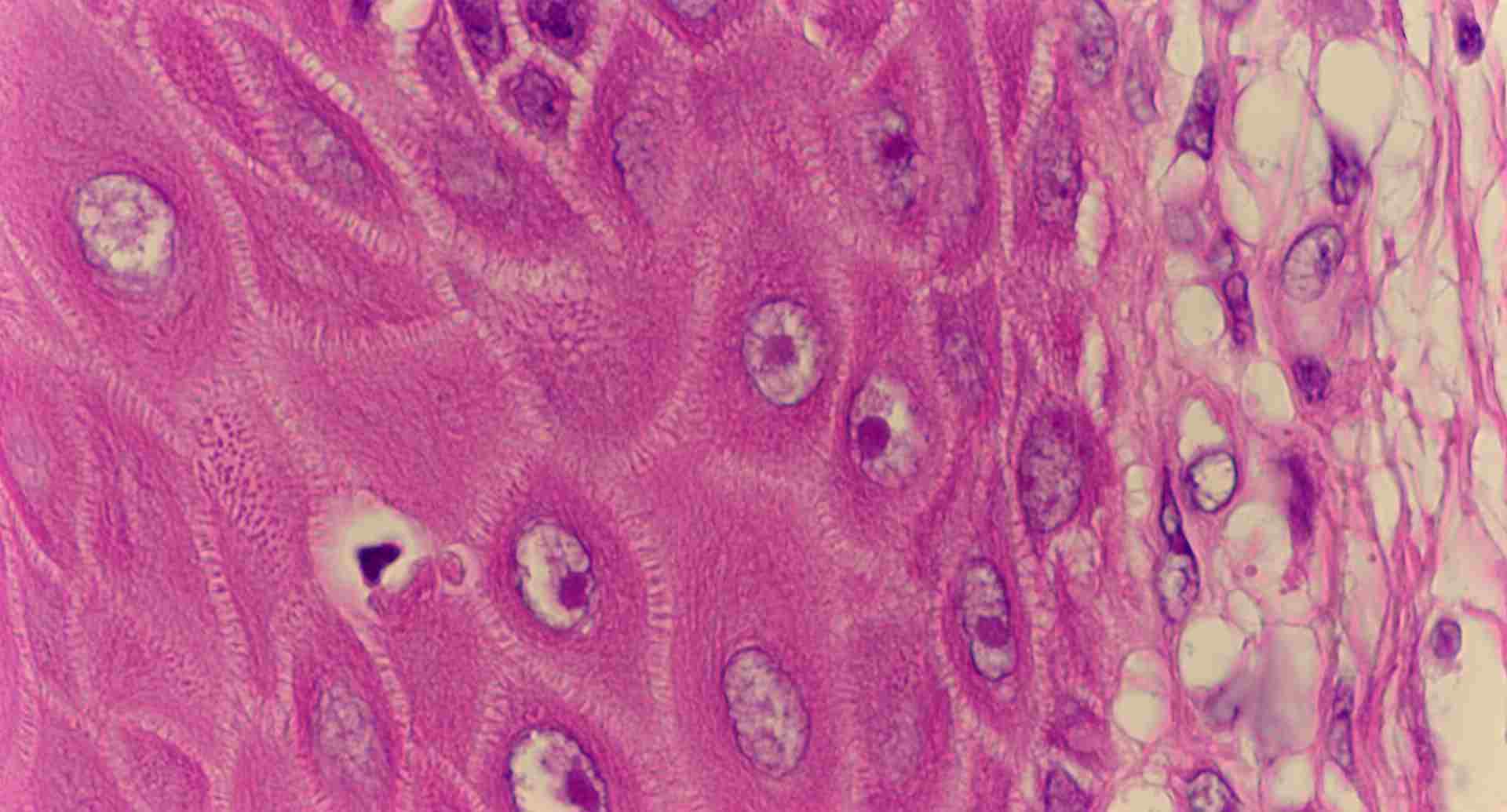
標本の説明


標本6


標本一覧に戻る